Lưu ý quan trọng sau vụ bệnh nhân 17 tuổi đột quỵ
Sau trường hợp thiếu niên 17 tuổi bị đột quỵ não sau cơn đau đầu, người Việt cần chú ý đến chế độ ăn, tập thể dục...để chủ động phòng ngừa.
|
Vào ngày 20/2, Bệnh viện Việt Nam - Thụy Điển Uông Bí (Quảng Ninh) đã tiếp nhận và điều trị cho 1 trường hợp 17 tuổi bị nhồi máu não. Người bệnh nhập viện trong tình trạng đau đầu chóng mặt, yếu nửa người trái.
Theo gia đình cho biết người bệnh hoàn toàn khỏe mạnh, không có bệnh lý nền, thể trạng béo phì. Khoảng vài ngày trước khi nhập viện, người bệnh có kêu đau đầu, chóng mặt, đã tự mua thuốc về uống nhưng không đỡ.
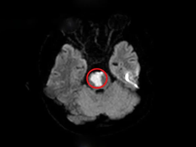
Sau khi tiến hành chụp MRI sọ não, kết quả cho thấy người bệnh có khối nhồi máu tiểu não, cầu não do tắc động mạch thân nền. Trên kết quả xét nghiệm máu có rối loạn lipid máu, một yếu tố nguy cơ dẫn đến các vấn đề tim mạch và mạch máu não.

Tổn thương nhồi máu vùng tiểu não của người bệnh (vùng khoanh tròn màu đỏ) - Ảnh: BVCC
Ngoài ra, khi làm các xét nghiệm chuyên sâu, người bệnh được phát hiện bất thường trong hệ gen gây tăng nguy cơ tạo huyết khối tắc mạch.
Trước trường hợp bệnh nhân trẻ tuổi bị nhồi máu não, mọi người cần lưu ý một số cách để chủ động phòng ngừa.
Kiểm soát huyết áp
Huyết áp cao là một trong những nguyên nhân gây tai biến mạch máu não. Để duy trì huyết áp ở mức lý tưởng dưới 135/85 mmHg, cần giảm muối trong chế độ ăn uống, không quá 1,5g mỗi ngày (khoảng 1/2 thìa cà phê), tránh các loại thực phẩm giàu cholesterol như bánh mì kẹp thịt, phô mai và kem; nên ăn 4-5 phần rau và trái cây mỗi ngày, 2-3 phần cá mỗi tuần.
Bên cạnh đó, cần tiêu thụ thêm ngũ cốc nguyên hạt và sữa ít chất béo. Người bệnh có thể dùng thêm thuốc ổn định huyết áp theo hướng dẫn của bác sĩ.
Kiểm soát cân nặng
Kiểm soát cân nặng, tránh thừa cân, béo phì là một trong những cách phòng ngừa tai biến mạch máu não. Khi thừa cân, béo phì, lượng cholesterol xấu (LDL) thường cao và có thể gây tắc nghẽn động mạch, tăng nguy cơ bị tai biến. Vì vậy, chúng ta cần chủ động theo dõi cân nặng thường xuyên để hạn chế cân nặng vượt quá mức.

Kiểm soát cân nặng để phòng ngừa tai biến mạch máu não.
Kiểm soát bệnh đái tháo đường
Việc kiểm soát chỉ số đường huyết theo hướng dẫn của bác sĩ là điều cần thiết. Ngoài ra, nên áp dụng chế độ ăn uống khoa học, tập thể dục và dùng thuốc điều trị để giữ đường huyết luôn ở mức ổn định.
Không hút thuốc lá
Theo nhiều nghiên cứu, hút thuốc lá có thể làm tăng nguy cơ tai biến mạch máu não. Nếu người hút thuốc lá nhiều hơn 1 bao/ngày thì nguy cơ tai biến tăng lên gấp 4 lần so với mức trung bình, còn hút thuốc ít hơn thì nguy cơ tai biến cao gấp đôi so với mức bình thường. Lý do là khi hút thuốc lá, thuốc lào rất nhiều hóa chất khác nhau được hấp thụ vào cơ thể, thông qua việc hít phải khói thuốc lá gây ra những thay đổi có hại dài hạn và ngắn hạn cho các mạch máu não.
Tốc độ của dòng máu qua mạch máu não thay đổi nhanh chóng ngay sau khi hút thuốc dẫn đến hiệu ứng tiêu cực cho não bộ. Ngoài ra, việc hút thuốc lá thường xuyên sẽ dẫn đến mạch máu não trở nên dễ tắc nghẽn hơn và dễ tạo cục máu đông hơn khi tiếp xúc với nhiều hóa chất trong khói thuốc lá. Khói thuốc lá gây ra những thay đổi trong nhịp tim và chức năng tim, cuối cùng có thể dẫn đến tai biến.
Hạn chế uống bia, rượu
Thường xuyên sử dụng rượu, bia với nồng độ cao cũng có nguy cơ tăng đột quỵ, tai biến mạch máu não... vì vậy không được lạm dụng rượu bia, có thể uống rượu vang đỏ với một lượng vừa phải (khoảng 1 ly nhỏ mỗi ngày). Rượu vang đỏ có chứa resveratrol, giúp bảo vệ tim và não.
Kiểm tra sức khỏe định kỳ
Kiểm tra sức khỏe định kỳ để kịp thời phát hiện các vấn đề sức khỏe, đặc biệt là những vấn đề gây ra tai biến mạch máu não.

Kiểm tra sức khoẻ định kỳ để phát hiện các vấn đề về sức khoẻ sớm nhất
Chế độ ăn uống lành mạnh
Mọi người cần có chế độ ăn uống đầy đủ chất dinh dưỡng. Hạn chế các loại thức ăn chế biến sẵn, nhiều dầu mỡ, chất béo, cholesterol, muối (natri)… Chế độ ăn tốt nhất để phòng ngừa tai biến mạch máu não là ăn nhiều thực phẩm có nguồn gốc thực vật với một lượng nhỏ thịt và cá.



